- 案例分享
真實案例
解決美觀焦慮,重拾自然無痕的自信。
顯微美學樹脂,能做到超越肉眼極限的精準。
不僅保留最多健康齒質,更大幅降低二次蛀牙的風險。
將「留下可以留下的每一顆牙」作為首要目標
以顯微根管與牙冠增長術重建健康基礎,搭配全瓷冠完美修復。
讓重生的牙齒在健康與自然美觀間達到完美平衡。
作品集(左右滑動看對比)
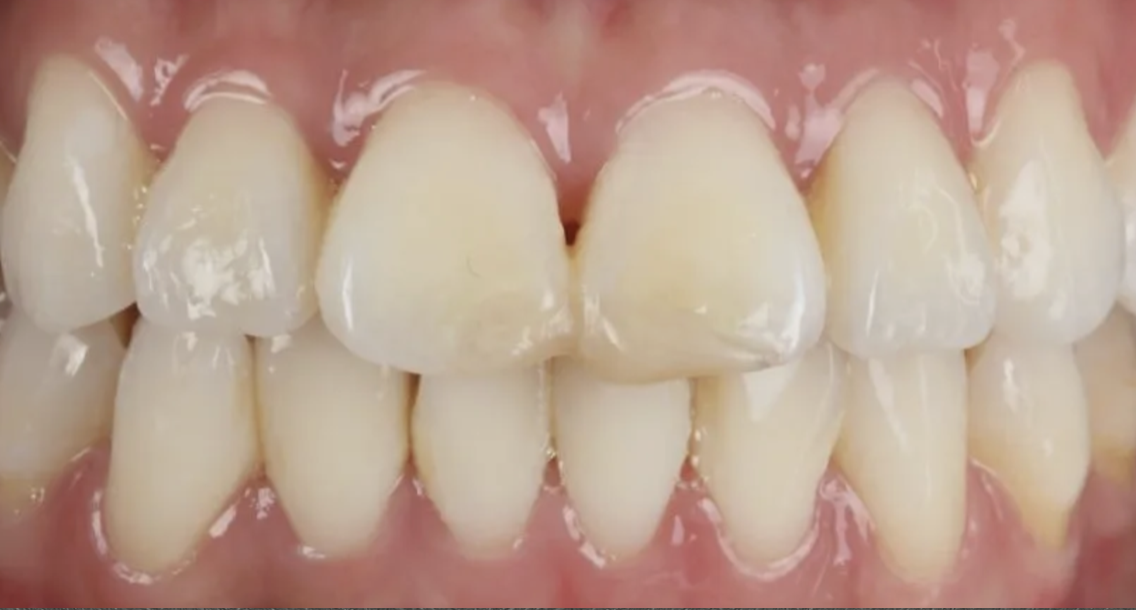
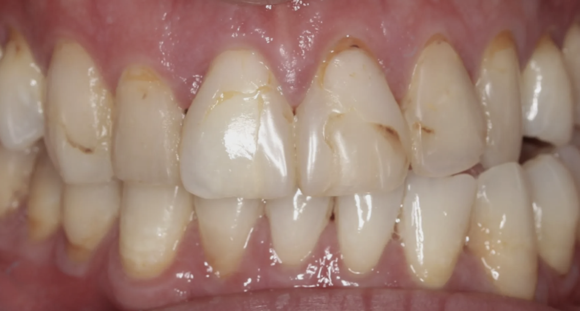
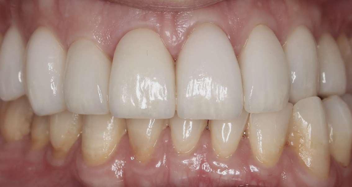
前牙美學重建
顯微樹脂關縫
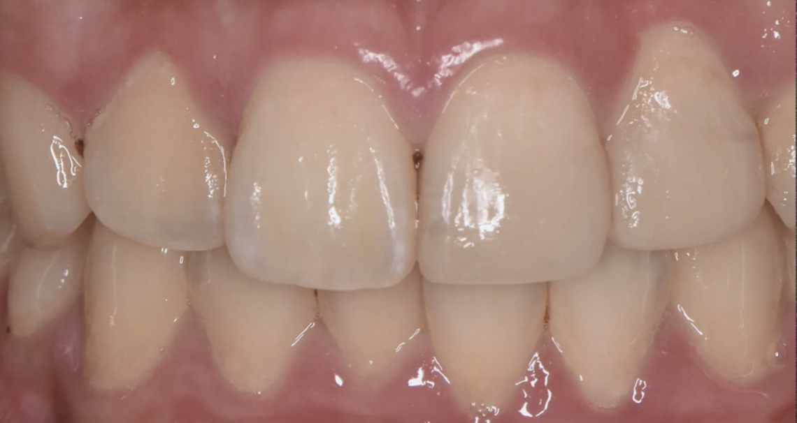
全瓷冠重建
顯微樹脂微調
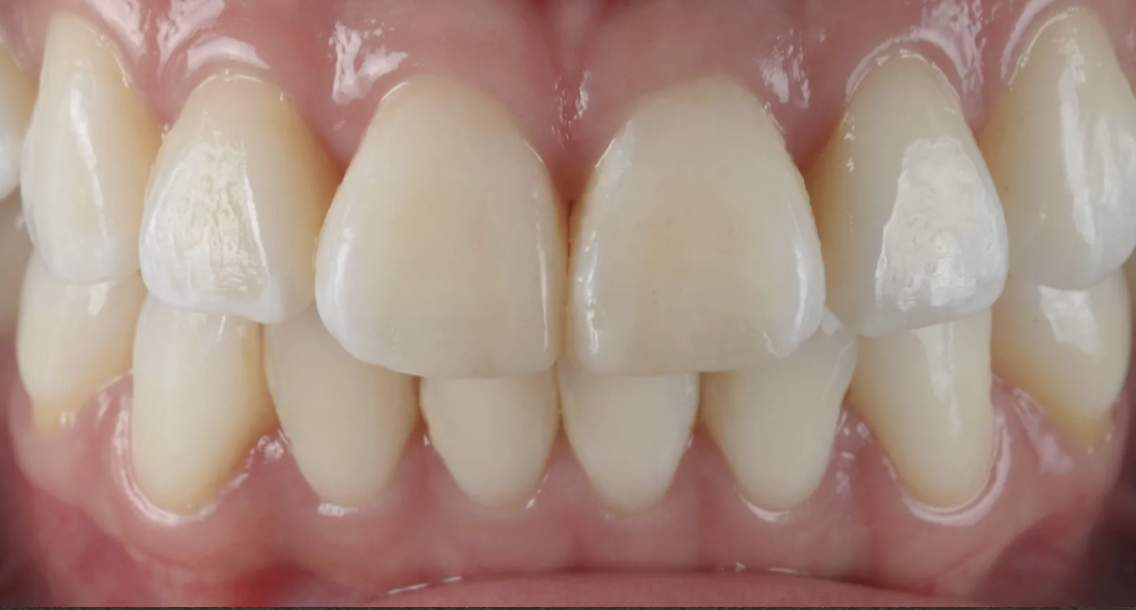
牙體復形修復
常見問題
顯微美學樹脂和一般補牙差在哪?
差在精細度與密合度。顯微鏡能處理肉眼看不見的縫隙,密合度越好,未來蛀牙與脫落的風險就越低,也更自然美觀。
貼片、全瓷冠、顯微美學樹脂,我該怎麼選?
以最微創的角度來說,美學樹脂修磨量最少。但如果有根管治療史或大範圍齒質缺損,可能需要牙套給予更完整保護。我會在評估後跟你說明最適合的選項。
治療會不會痛?
會搭配局部麻醉,過程中會隨時關注你的感受,確保盡可能舒適。
這樣可以用多久?
咬合與清潔正常的情況下可使用多年。若因飲食染色,樹脂可重新拋光或局部補強,不需像全瓷貼片一樣整個重做。
⎯ 我的背景
每一顆牙齒,都值得被認真對待。
- 國立臺灣大學 牙醫學系
- 衛福部部定 家庭牙醫科 / 牙體復形科 專科醫師
- 臺大醫院牙科部 住院醫師 / 兼任主治醫師
- 臺大醫院牙體復形美容牙科 總醫師 / 專科訓練
- 中華民國牙體復形學會 第13、14屆理事
- 現任:日光牙醫、晨瑞牙醫 主治醫師 / 雅毓牙醫診所 院長
這些經歷
讓我學會的不僅是把療程做完,
而是以「能留就盡力留」為原則,
在長期穩定與美觀功能都兼顧的前提下,替你把關每一個選擇。
- 病人回饋
Google評價
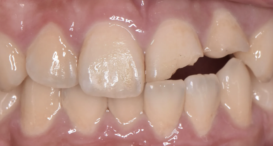
魏醫師非常專業,技術一流,崩掉一半的牙齒也可以補好,手法細腻靈巧,補好的牙齒輪廓也仔細修整,沒有毛邊,沒有孔隙,就像原生的牙齒一樣。治療前仔細說明不同治療方式的優缺點,讓患者自己評估選擇治療方式,診所設備新穎完善,有360度全口X光攝影,治療體驗極佳。
非常推薦這家牙醫診所!從進門到治療結束,整個體驗都非常好。魏醫師不僅技術專業、細心,也特別注重患者的舒適感和需求。在治療過程中,他耐心解釋每個步驟,讓我放下了原本的緊張,感受到安心,推薦給所有需要牙齒治療的朋友!
診所環境明亮舒適,幫我看診的魏緯昕醫師十分仔細、有耐心。很多牙醫不喜歡治療智齒,就直接要患者拔掉。魏醫師非常細心的幫我補了智齒,打麻藥及補牙過程中完全沒有任何不適。雖然是在口腔內側完全看不到的智齒,補完後魏醫師仍很仔細的修飾表面,值得推薦的良醫!
魏醫生洗牙很細心,也會幫忙主動追蹤過去補過的蛀牙,會定期回訪。