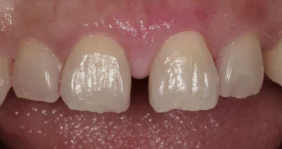
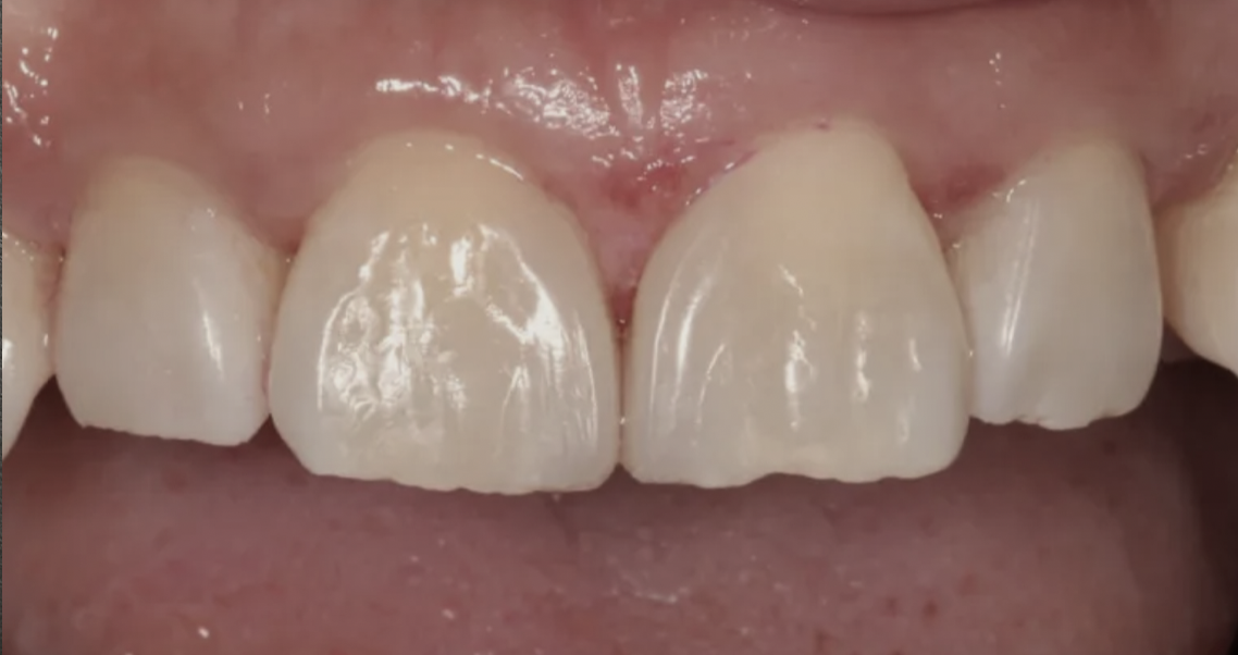
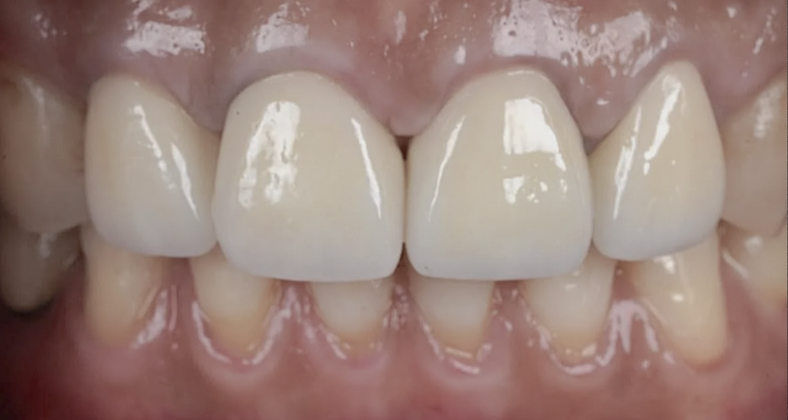
安心美學修復專家 我是魏緯昕醫師 溫柔處理細節,讓笑容回到最自然的樣子 點我預約 關於我 美學案例完成 1 + 年臨床經驗 1 + 關於我 長期陪伴,讓你安心前行 牙科治療對很多人來說充滿未知與焦慮。我相信當病人完全理解治療目的,才能真正放鬆、配合,也才能得到最好的結果。每一次治療,我都以長遠的咬合健康為優先,用同理心對待每一份對牙齒的擔憂。 Services 核心診療項目 美學樹脂顯微修復 結合顯微放大技術與高階分層樹脂,微創精準修復前牙缺角、牙縫與不對稱,兼顧美觀、功能與長期穩定。 客製化前牙微笑設計 依臉型比例、唇形弧度與個人氣質量身設計,拒絕套版,打造讓人渾然天成、自信加乘的專屬笑容。 工作經歷 學經歷 學歷 國立臺灣大學 牙醫學系 住院醫師 臺大醫院牙科部 住院醫師 / 兼任主治醫師 總醫師 臺大醫院牙體復形美容牙科 總醫師 / 專科訓練 理事 中華民國牙體復形學會 第13、14屆理事 現任 日光牙醫、晨瑞牙醫 主治醫師 雅毓牙醫診所 院長 案例分享 真實案例 解決美觀焦慮,重拾自然無痕的自信。 顯微美學樹脂,能做到超越肉眼極限的精準。 不僅保留最多健康齒質,更大幅降低二次蛀牙的風險。 將「留下可以留下的每一顆牙」作為首要目標 以顯微根管與牙齦增長術重建健康,並搭配全瓷冠的完美修復。讓重生的牙齒在健康與自然美觀間達到完美平衡。 病人回饋 Google評價 Fon 魏醫師非常專業,技術一流,崩掉一半的牙齒也可以補好,手法細腻靈巧,補好的牙齒輪廓也仔細修整,沒有毛邊,沒有孔隙,就像原生的牙齒一樣。治療前仔細說明不同治療方式的優缺點,讓患者自己評估選擇治療方式,診所設備新穎完善,有360度全口X光攝影,治療體驗極佳。 Hoi 非常推薦這家牙醫診所!從進門到治療結束,整個體驗都非常好。魏醫師不僅技術專業、細心,也特別注重患者的舒適感和需求。在治療過程中,他耐心解釋每個步驟,讓我放下了原本的緊張,感受到安心,推薦給所有需要牙齒治療的朋友! Aog 診所環境明亮舒適,幫我看診的魏緯昕醫師十分仔細、有耐心。很多牙醫不喜歡治療智齒,就直接要患者拔掉。魏醫師非常細心的幫我補了智齒,打麻藥及補牙過程中完全沒有任何不適。雖然是在口腔內側完全看不到的智齒,補完後魏醫師仍很仔細的修飾表面,值得推薦的良醫! 魏O軒 魏醫生洗牙很細心,也會幫忙主動追蹤過去補過的蛀牙,會定期回訪。